In any anal-play guide, or anal sex toy guide, there is always a warning of what you can and should NOT put up the bum. Why?
Well, the anal cavity isnt’ like a vaginal – there’s no “back wall” to stop an object. This is why anal toys should always have wide, flared bases or something that will stop slippage (because you will also be using a lot of lube). However, it seems not everyone got the message and went ahead with whatever they found around the house.
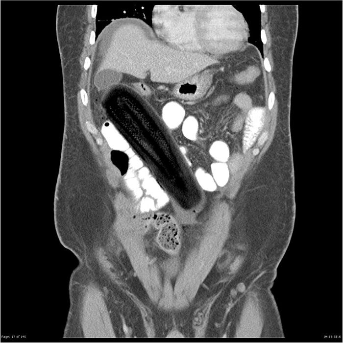
Here are some xrays from unfortunate doctors…

Dr Frank Gaillard
This first image is deceiving. But it’s actually a can of instant coffee. I have no idea what the little pin-looking things are.

Dr Frank Gaillard
Yes, anal toys are great when they are long and cylindrical, but not when it’s a bottle of bug spray!

We could make a job about not being able to find the car keys … but would you really want them after this?

It’s not poisonuse bug spray, but the breakable nature of this milk bottle brings on different nightmares.

Dr Frank Gaillard
Everyone’s butt smells. I’m not sure why someone felt the need to shove a deoderant bottle up there.

Dr Mohammad Taghi Niknejad
Yep. First I’m impressed that it’s still in one piece. Second, if it did break, that would be so painful coming out. Lastly, there are so many jokes about a certain celebrity’s “health line” that could be made.

I guess the egg beater was to try to get out the egg?

Dr Paul Simkin
An orange …. okay. I guess it’s not the weirdest thing so far.

Dr Frank Gaillard
Since we are on food, let’s add an eggplant up there. Possibly a low-calorie diet fad?

Yeah… a headless Barbie. I think this takes first place.
What’s the weirdest thing you’ve heard that got stuck up someone’s bum. Share in the comments!